VIRTUAL RETAINER CHECK
For your safety and convenience, routine retainer check appointments can now be done virtually!

If your retainers are NOT fitting properly, you may need an in-person visit. Just let our team know by texting us at 757-874-6655 that you would like to be seen in-office and we will set an appointment for you!
LET’S GET STARTED WITH YOUR VIRTUAL RETAINER CHECK!
(Make sure you are wearing your retainers before taking the photos!)
1.

CENTER
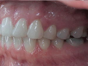
3.

RIGHT
2.

LEFT
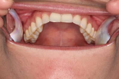
4.

TOP
5.

BOTTOM

